胎儿四维照片丑哭,生出来会不会丑?知道原因后,孕妈可以放心了
胎儿四维照片丑哭,生出来会不会丑?知道原因后,孕妈可以放心了
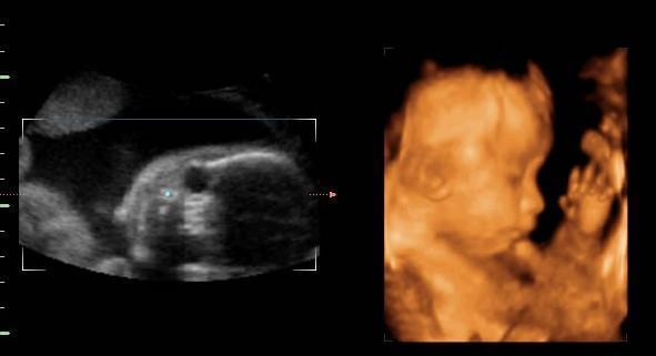
很多朋友在孕中期的时候,会选择四维彩超来进行大排畸检查,除了检查清晰度高之外,最大的目的就是能够保存胎儿的照片留作纪念,但是四维照片实在是太丑了,经常把孕妈们吓得怀疑人生,这么丑的胎儿真的是我的宝宝吗?

这不刚刚有位准爸爸私信说:老婆怀孕24周,大排畸检查的时候提前预约的四维彩超,都说四维彩超可以留照,但是拿到照片以后,却发现照片里的胎儿鼻子嘴巴特别大,看起来丑的不得了,孩子生出来以后真的这么丑吗?
相信很多朋友都碰到类似的问题,先不要紧张。宝宝的长相跟父母遗传有很大关系。如果父母嘴巴鼻子都比较大,那孩子大嘴巴大鼻子的几率非常高;同样的,如果父母以及直系亲人鼻子不大嘴巴小小的,那孩子大嘴巴大鼻子的几率几乎为0。所以拿到四维照片以后,不妨先对比一下父母的长相再说。
为什么胎儿四维照片鼻子嘴巴都很大呢?原因一般有这三种,孕妈妈了解清楚就放心了。

第1:胎儿没有成熟
四维彩超的检查时间是孕22-28周,此时的胎儿还没有足月,小小的一只,浑身皱巴巴的,还没有发育完全;同时胎儿的身上还有一层厚厚的胎脂,这些胎脂让胎儿的皮肤看起来凹凸不平,拍摄的时候,自然会影响到照片,让胎儿的鼻子嘴巴看起来特别大。
不要担心,胎儿在孕晚期的发育中,胎脂会慢慢脱落一些,皮下脂肪快速的囤积,胎儿会越来越丰满,五官也会越来越好看。就拿新生儿来说,宝宝刚出生的时候,皱巴巴的像个没毛的猴子,丑得要命,但是过了三四十天,宝宝长大一些,会变得白白胖胖特别可爱。

第2:拍摄角度问题
四维彩超的主要目的是大排畸,排查胎儿有无畸形,在检查的时候,为了更清晰的看到胎儿各部位发育情况,排查胎儿的畸形,他们会选择能够清晰观察胎儿的角度拍摄,而不是怎么好看怎么拍。拍摄的时候很可能因为角度问题,把胎儿的面部拍的扁平,鼻子嘴巴又大又扁的。

第3:只是一个大概影像
四维彩超拍摄的照片,只是胎儿的一个大概影像,并不能跟专业的相机来做对比。首先,拍摄的时候,胎儿泡在羊水中,在羊水的作用下,拍摄的照片会有些变形;其次,胎儿可能不是出于静止状态,有些胎儿可能在打嗝,有些胎儿可能在乱晃,这些不静止的行为,都会影响照片的拍摄;最后,四维彩超的目的是为了排查胎儿畸形,在拍摄的时候,为了更清晰的观察胎儿发育,可能会对局部进行放大。这三种情况,都会导致胎儿的照片鼻子大嘴巴大,看起来丑巴巴的。
最后,胎儿四维彩超的照片,鼻子大嘴巴大,看起来特别丑 ,都是正常的,只要检查胎儿发育正常,没有畸形就好。至于孩子的长相问题,还得看父母的基因遗传,父母颜值高,孩子的颜值也不会太低;如果父母颜值太低,那就不能怪孩子长得不可爱了,只是随了父母而已。
大家好,我是叮麻育儿,经验丰富的育儿达人,多平台原创作者,分享专业的孕育知识!欢迎大家关注我,留言咨询或讨论。本文系原创,抄袭必究!
标签:
101
哪吒和变形金刚惊现合作?两位强强联手,把不可能变为可能 2017年7月6日,中国中央电视台发布一条消息。声称,要与美国孩之宝公司合拍一部动画,名称为《哪吒与变形金刚》,时隔...
176
鲁迅原配妻子:一生无爱、无夫妻之实,鲁迅去世后,她终于能诉说 朱安,鲁迅先生背后被遗忘的妻子,我们自小就学习鲁迅先生的文章,也大致知道鲁迅先生的生平,若说出鲁迅先生...
84
凌雁秋和赵怀安之间 斜剑短笛假公子,世事纷乱心怀安。 马蹄飞沙出龙门,一抹夕阳照秋雁。 因为本人大爱凌雁秋,所以把她放在第一位。我不知从何写起或者如何描述,才能尽兴我...
93
玲花拒绝出演《浪姐》,但却不得不参加其他节目,只因没演出机会 凤凰传奇第二次登上《为歌而赞》的舞台,这一次他们带来一首改编版的《以爱为囚》。 玲花的声音一出来,在场...
175
“醉卧沙场君莫笑,古来征战几人回?”有一种心灵震撼叫作边塞诗 边塞诗又称出塞诗,是以边疆地区汉族军民生活和自然风光为题材的诗。 一般认为,边塞诗初步发展于汉魏六朝时...
179
“可裸穿”的安全裤,性感不走光 夏日,怎么少得了小短裙? 阳光好天气,当风吹过裙摆的时刻,让整个夏天的性感度瞬间 up! up! up! 但凉爽归凉爽!却总会遇到尴尬的事儿: 比如穿浅...
127
钟汉良隐婚多年?获神秘女子探班,他也藏不住? 钟汉良一直是大家心目中的冻龄男神,这些年搭档的女主角一个比一个小,但他总能演出甜蜜的cp感,看上去毫无年龄差,深受观众喜...
111
遭受重挫的红星美凯龙,经营失色 编辑 | 虞尔湖 出品 | 潮起网「于见专栏」 这两年,常有人说社会已经走向经济下半场,这下半场对企业来说,意味着什么?简单点解释,如果说在上...
81
盘点中国历史十大古都 我国历史上有哪些著名古都 古都又称国都、京城等,是一个王朝的政权所在,通常也是一个国家的经济文化中心,随着国家的扩张,古都选址也发生了相应变化...
119
深扒“藏身”宁德时代背后的鸿商系 一则宁德时代即将成为洛阳钼业二股东的消息被引爆。 10月13日,环球老虎财经获悉,宁德时代或将成为洛阳钼业二股东。万亿宁王自然是市场关注...
115
离散22年,这次妈妈带你“回家”! 11月20日,经过长达22年的寻找,四川广元的王雪华终于找到了自己失散22年的女儿。如今已经22岁的女儿张熙桐,终于离开那个生活22年的“他乡”,...
192
请全天津人吃海鲜!这家店把整个海鲜市场搬了进来!开业就爆火 50+种国内外鲜活生猛海鲜随意挑 超大“海鲜市场”空降天津 现场打捞,现场加工 第一手鲜货入口 每一口都是充斥着...
176
颜丙燕透露“圆梦”背后:减肥二十斤五天学方言 有一种演员,不管是扮演大角色,还是小角色,都自带光环。颜丙燕,就有这样的魅力。正在央视一套热播的电视剧《山河锦绣》中,...
148
如果你喜欢另类男神,高桥一生拥有独特气质其实很不错 《爱情人偶》中的情趣公仔设计师、《凪的新生活》中的渣男、《龙之道》中的菁英高官⋯⋯都是日剧男神高桥一生饰演的角色...
127
张一山和惠若琪这是什么最萌身高差的搭配 张一山和惠若琪这是什么最萌身高差的搭配 张一山和惠若琪这是什么最萌身高差的搭配 张一山和惠若琪这是什么最萌身高差的搭配 张一山和...
101
潍坊的由来是什么?这里告诉你 您若是说地名,那么潍坊,自古就有这个名字,古称“潍州”、“潍县”。 若是说历史,齐鲁文化可是历史悠久。大家都知道,从周开始,武王封邦建...
116
脑筋急转弯:什么东西生产日期和有效期是同一天? 智力游戏脑筋急转弯,经常猜猜有利于开发孩子智力、激活脑细胞,而且有助于帮助孩子打破惯性思维的逻辑! 几则趣味脑筋急转弯,...
148
村庄修路挖出大石龟,下面有大墓?官方:上世纪修路埋的为龙六子 村庄修路挖出大石龟,下面有大墓?官方:上世纪修路埋的为龙六子【村庄修路挖出大石龟,下面有大墓?官方:上...
175
救命,这是什么好笑的互动啊哈哈哈哈,腾讯视频回复白敬亭: 加油,苟富贵勿相 忘 #腾讯视频表情回复白敬亭你怕是活在梦里# #腾讯视频回复白敬亭# 救命,这是什么好笑的互动啊哈...
140
苏淇是什么“暴力”小仙女,以一敌十完全就是小菜一碟…… #原来是老师啊拿错剧本特辑# 苏淇是什么“暴力”小仙女,以一敌十完全就是小菜一碟。这么强的男友力真的不是拿错了男...