「解剖」颈部淋巴结分区(精选资源)



(两横线:舌骨及环状软骨水平)
颈部淋巴结呈软组织密度,类圆或卵圆形,正常时短径小于5mm。
颈部淋巴结分为七区:
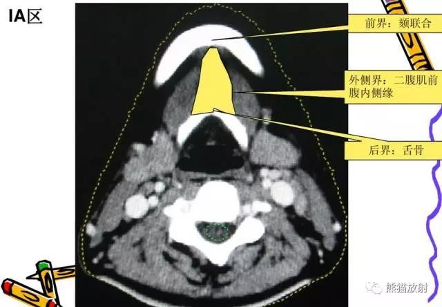
I区:颏下及颌下淋巴结
II区:颈内静脉链上组
III区:颈内静脉链中组
IV区:颈内静脉链下组
V区:颈后三角区淋巴结,即胸锁乳突肌后缘、斜方肌前缘及锁骨构成的三角区内的淋巴结
VI区:中央区淋巴结,包括喉前、气管前和气管旁淋巴结
VII区:上纵隔淋巴结















另:




舌骨上水平CT增强图像
横白线在两侧颌下腺后缘。
线以前为I区淋巴结,线后为II区淋巴结。在颈内静脉附近为IIA区,颈内静脉后面不接近静脉的淋巴结为IIB区。

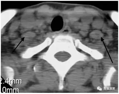
舌骨水平CT增强图像
横白线划在胸锁乳突肌后缘。
白线前为III区淋巴结,后为V区淋巴结。




女性,45岁,淋巴瘤。显示双侧腮腺区、左侧咽后区淋巴结增大,病变无融合倾向。

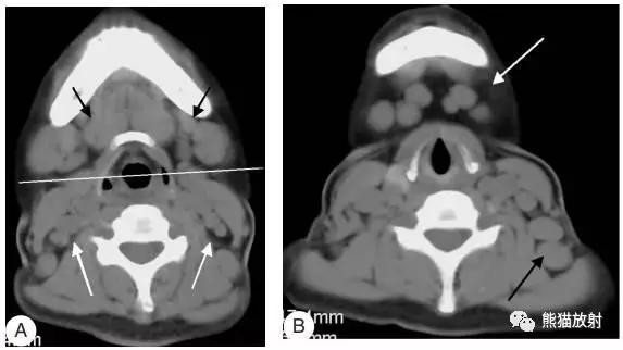
女性,45岁,淋巴瘤。(A)黑箭显示双侧IB区淋巴结,白箭显示ⅡA区淋巴结。(B)白箭显示ⅠA区淋巴结,黑箭显示左侧Ⅴ区淋巴结。

女性,56岁,箭头显示右侧颈部ⅡA区转移性低分化癌。

女性,45岁,淋巴瘤。黑箭显示双侧ⅡB区淋巴结。

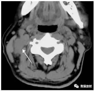
显示左侧Ⅲ区颈部淋巴结转移。

淋巴瘤。箭头显示右侧Ⅳ区,左侧Ⅴ区淋巴结增大。

淋巴瘤。黑箭显示双侧锁骨上窝淋巴结增大。










来源:熊猫放射
【版权声明】本平台属公益学习平台,转载系出于传递更多学习信息之目的,且已标明作者和出处,如不希望被传播的老师可与我们联系删除
标签:
170
十款口碑最好的国产手机排行榜 随着科技的不断发展,国产手机市场也日益繁荣。在众多国产手机品牌中,哪些手机口碑最好呢?本文将为您揭晓十款口碑最好的国产手机排行榜。 1、...
62
四本代入感极强的灵异小说,剧情跌宕起伏,让你废寝忘食也想读完 大家好,我是小马哥,十多年老书虫,今天小编要为大家推荐4本读后保证让你们酣畅淋漓的灵异小说,不是小编夸...
186
玛莎拉蒂案谭明明下跪悔罪,两千万求和解,网友怒斥生命无价! 2019年7月3日,晚上十点,河南永城发生了一起严重的交通事故。 一辆玛莎拉蒂将停在路口等待红绿灯的宝马撞飞,宝马...
156
勾起你回忆的8首经典英文歌曲 跟着音乐去寻找过往的时光 回到从前,很多英文歌依然历历在目,时光流逝依然有那么几首歌特别好听! 特此分享8首经典英文歌曲,喜欢的可以收藏哦...
107
“最红裸模”张筱雨:凭借大胆的写真集火爆全网,如今40岁仍单身 在阅读此文之前,麻烦您点击一下“关注”,既方便您进行讨论和分享,还可以给您带来不一样的参与感,谢谢您的...
174
飞往星辰大海靠什么?唯一靠谱的无工质推进引擎,原来只是一场梦 现在人类到地球以外的空间活动,依靠的主要就是化学燃料火箭,显而易见,化学燃料火箭只能够带领人类在家门口...
59
当年在部队,伙食标准比较高的兵种是哪些? 文/凌陆军 军人是我国的守护者,他们保家卫国的同时,也需要健康营养的伙食来支持战斗力。 但是不同兵种的伙食标准也有所差异。那么...
187
吕布与貂蝉:爱情故事还是政治交易? 吕布与貂蝉的爱情故事:英雄情仇与权力交易的交织 说起三国演义,吕布和貂蝉这对“英雄美人”组合,几乎是每个人心中无法磨灭的经典记忆...
120
今天小编带你辨别社会上常见的“婊” 很多人都在抱怨,在恋爱或是生活的过程中,总会遇到“婊里婊气”的女生。今天,小编我就带大家学习“辨婊”。(男女通用) 老规矩,让我...
85
中国国家高速公路系列——第11期·济广高速公路 截止2021年底,我国国家高速公路总里程达到12.4万公里,总里程数位居世界第一,密密麻麻的高速公路网将我国的各个城市紧密连接起来...
131
“裹蒸粽”不是粽?细说肇庆裹蒸的前世今生 裹蒸粽是广东肇庆的传统特色非遗美食。想当年我到肇庆旅游,看到外形像金字塔一样的裹蒸粽时都惊呆了。粽子吃得多了,这么大的粽子...
180
哄女孩开心的幽默笑话:让笑容成为你们之间的桥梁 在爱情的世界里,幽默感就像是一剂神奇的调味料,它能让平淡的日子变得生动有趣,也能在女孩心情低落时,为她带来一抹温暖的...
56
值得购买的四款老人机,款款都是“孝心” 出来工作以后,可能就要面临一个问题,给爸妈或者其他长辈购买手机,年轻一点的长辈还好说,稍微年龄大点的长辈,这可烦死了。现在手...
51
盘点那些最“湘”的湘菜馆(图) 本文由自媒体“网上餐饮怎么玩”原创,欢迎转发,转载请注明来源 据统计,在广州数量最多的餐厅不是粤菜馆,而是遍布大街小巷的各色湘菜馆。...
74
美国国家安全局 美国国家安全局 (英语: National Security Agency ,缩写: NSA 、 国安局 )是美国联邦政府机构中的情报部门,专门负责收集和分析外国及本国通讯资料,隶属于美国国防...
189
西安最适合拍照的网红打卡地推荐一:老城根 西安时尚街拍 视频加载中... 近两年啊,小编发现来西安玩的外地小伙伴越来越多了。尤其是最近这半年啊,仅仅大唐不夜城一个去处,就...
148
广东紫金县 紫金县是广东省河源市的下辖县,位于广东省东中部,河源市东南部、东江中游东岸。全县设16个镇(不含江东新区古竹镇、临江镇),县人民政府驻地紫城镇。2019年紫金县...
154
50张图鉴定你是否有“密集恐惧症” 本文转自我装编辑”乱码“的个人订阅号,这家伙口味没怎么清新过。有奇怪癖好的兄弟可以关注他,他的订阅号: luanma4 年快过完了,你们也该看...
148
中国综合实力百强县——江苏新沂 新沂,简称新。位于中国江苏省,苏鲁两省地理中心,东陇海产业带中心城市。新沂素有“苏鲁中枢、四省通衢”之美誉。1990年2月撤县建市。总面积...
199
洪拳创始人洪熙官,武艺精湛的少林奇才,93岁时被少女一拳打死 1994年,香港上映了两部功夫武侠片,一部是由功夫皇帝李连杰主演的《新少林五祖》;另一部则是由甄子丹担纲主演的...